Proximal Migration of Ureteric DJ Stent: A Case Series
Abstract
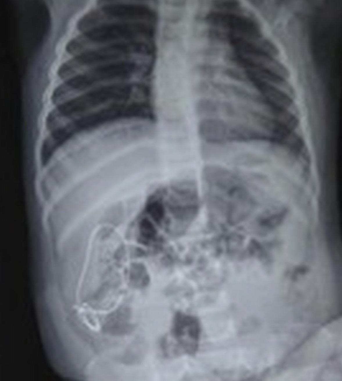
Background: DJ stents are routinely used in urological procedures. Rarely these may dislodge or migrate.
Case Series: Here we report proximal migration of DJ stent in three children with pelvi-ureteric junction (PUJ) obstruction treated with dismembered pyeloplasty. Ureteroscopy and retrieval of migrated DJ stents were performed in each of these patients.
Conclusion: Proximal migration of DJ stent, though rare, can cause significant morbidity and complicates it’s removal. Proper size and positioning of stent is required for pediatric patients.
Downloads
References
Breau RH, Norman RW. Optimal prevention and management of proximal ureteral stent migration and remigration. J Urol. 2001; 166:890-3.
Garg RK, Menon P, Rao KLN, Arora S, Batra YK. Pyeloplasty for hydronephrosis: Issues of double J stent versus nephrostomy tube as drainage technique. J Ind Assoc Pediatr Surg. 2015; 20:32-6.
Mallikarjuna G, Ravichander G. Ureteric double-J stent related complications: a single tertiary care center experience from South India. Int J Res Med Sci. 2018; 6:3846-51.
Ahallal Y, Khallouk A. Risk factor analysis and management of ureteral double-J stent complications. Rev Urol. 2010; 12:e147-e151.
Slaton JW, Kftopp KA. Proximal ureteral stent migration: an avoidable complication? J Urol. 1996; 155:58-61.
Jayakumar S, Marjan M. Retrieval of proximally migrated double J ureteric stents in children using goose neck snare. J Indian Assoc Pediatr Surg. 2012; 17:6–8.
Meeks JJ, Helfand BT, Thaxton CS, Nadler RB. Retrieval of migrated ureteral stents by coaxial cannulation with a flexible ureteroscope and paired helical basket. J Endourol. 2008; 22:927–9.
Menezes P, Gujral S, Elves A, Timoney A. Ureteroscopic retrieval of proximally displaced ureteric stents using triradiate grasping forceps. Br J Urol. 1998; 81:758–9.
Yap RL, Batler RA, Kube D, Smith ND. Retrieval of migrated ureteral stent by intussusception of ureteral balloon dilator tip. Urol. 2004; 63:571–3.
Livadas KE, Varkarakis IM, Skolarikos A, Karagiotis E, Alivizatos G, Sofras F, et al. Ureteroscopic removal of mildly migrated stents using local anesthesia only. J Urol. 2007; 178:1998–2001.
Copyright (c) 2020 Debansu Sarkar, Avisek Dutta, Dilip Kumar Pal

This work is licensed under a Creative Commons Attribution-NonCommercial-ShareAlike 4.0 International License.
This publication
- Authors retain copyright and grant the journal right of first publication with the work simultaneously licensed under a Creative Commons Attribution, Non commercial, Share alike License 4.0 that allows others to share the work with an acknowledgement of the work's authorship and journal.
- Authors are permitted and encouraged to post their work online (e.g., in institutional repositories or on their website) after publication as it can lead to productive exchanges, as well as earlier and greater citation of published work (See The Effect of Open Access).
- Authors also confirmed that they have taken permission/consent for publication of this manuscript and of copyrighted material (if it is used in the manuscript).